Sỏi thận là bệnh lý rất phổ biến của các bệnh của hệ tiết niệu. Bệnh tiến triển nhanh và gây nhiều biến chứng ở thận. Siêu âm sỏi thận có cần nhịn ăn không? Thời điểm nào thì nên tiến hành? Tất cả sẽ được thông tin dưới bài viết sau đây.
Mục đích của siêu âm sỏi thận là gì?
Sỏi thận thường gặp ở nam giới trong độ tuổi trung niên và đang dần trẻ hoá đối tượng mắc phải. Bệnh để lại hậu quả nghiêm trọng nếu không được chữa trị sỏi thận kịp thời.
Siêu âm thận là gì?
Siêu âm là biện pháp giúp chẩn đoán các bất thường bên trong cơ thể qua đầu giò có sóng siêu âm. Hình ảnh siêu âm cho kết quả trắng đen, dựa vào kết quả này bác sĩ có thể đưa ra phác đồ điều trị.
Siêu âm thận hay gọi là siêu âm sỏi thận là liệu pháp siêu âm ổ bụng, quan sát thận và phát triển sỏi. Đây là biện pháp giúp chẩn đoán sỏi thận an toàn, không xâm lấn và cho kết quả chính xác.
Qua hình ảnh siêu âm cho biết chính xác sỏi đang ở đâu, kích thước bao nhiêu. Ngoài ra, qua kết quả siêu âm có thể phát hiện được tình trạng viêm hay không.
Lợi thế của siêu âm là khi sỏi thận chưa có triệu chứng bệnh thì khi thăm khám sức khỏe định sẽ phát triển được. Đây là lựa chọn ưu việc giúp người bệnh phát hiện sớm và điều trị hết sỏi thận nhanh.
Tuy nhiên không phải trường hợp sỏi thận nào siêu âm cũng sẽ phát hiện ra. Nếu sỏi nằm ở các vị trí mắc kẹt khó quan sát qua hình ảnh siêu âm thì buộc phải làm liệu pháp khác. Bệnh nhân có thể được chỉ định chụp X-quang hoặc MRI khi sỏi không quan sát được qua sóng siêu âm.

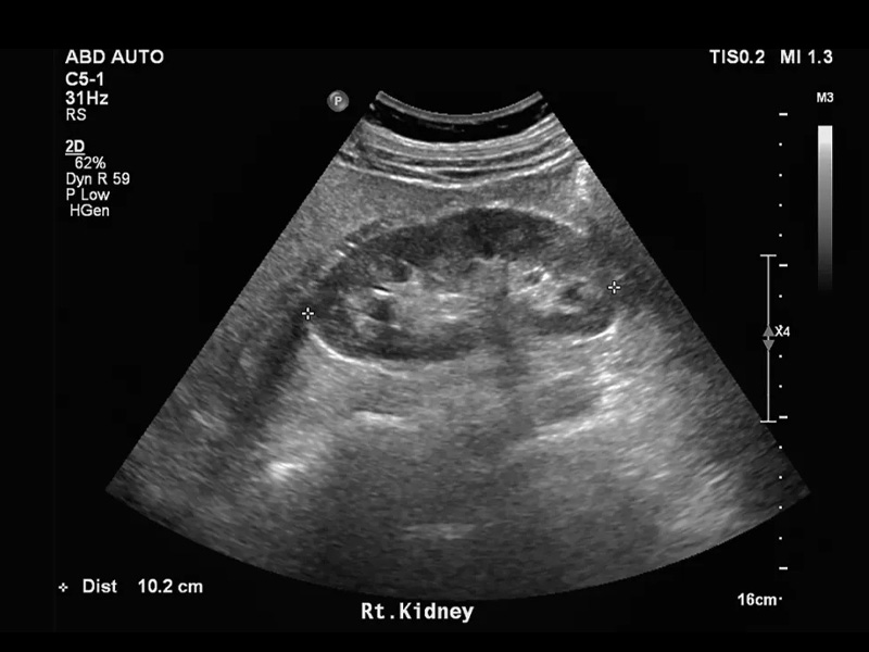
Hình ảnh siêu âm sỏi thận
Mục đích của siêu âm
Thông qua hình ảnh của siêu âm thì bác sĩ biết được chính xác kích thước sỏi thận là bao nhiêu? Hình dạng sỏi có nhẵn hay nhiều cạnh, dạng chùm hay từng viên riêng rẻ.
Mặt khác, siêu âm giúp phát hiện được sỏi thận có đang dịch chuyển xuống các vị trí khác hay không. Tình trạng thận có bị viêm, sưng hay đường niệu quản và bàng quang có gặp bất thường không.
Ngoài ra, qua hình ảnh siêu âm ghi nhận sẽ giúp bác sĩ chẩn đoán được chính xác các biến chứng của sỏi thận gây nên. Từ đó, bệnh nhân sẽ được điều trị bằng các phác đồ tốt nhất để nhanh hết bệnh.
Khi nào người bệnh được chỉ định đi siêu âm sỏi thận?
Sỏi thận siêu âm được chỉ định khi bệnh đang gặp các biểu hiện sau đây:
- Tiểu nhiều lần, mỗi lần một ít
- Bí tiểu
- Tiểu rắt, tiểu buốt
- Xuất hiện các cơn đau quặn thận
- Xuất huyết khi tiểu
- Nước tiểu có mùi tanh, hôi bất thường
- Người bệnh có tiền sử mắc các bệnh về thận như: Suy thận, thận hư, ứ nước thận,…
- Huyết giảm đột ngột không rõ lý do

Siêu âm có phát hiện sỏi thận không?
Ngoài ra, người bệnh khi tiến hành thăm khám sức khỏe định kỳ có thể siêu âm ổ bụng để phát hiện sỏi thận. Liệu pháp này áp dụng khi không có các triệu chứng sỏi thận thường gặp.
Lưu ý trước và sau khi siêu âm
Nhiều người không biết siêu âm sỏi thận có cần nhịn ăn hay không? Hay phải nhịn tiểu? Hai điều này thì điều nào sẽ giúp hình ảnh siêu được chuẩn xác hơn?
Trước khi siêu âm sỏi thận
Để cho kết quả siêu âm được chính xác thì người bệnh nên nhịn tiểu, không nên nhịn ăn. Nước tiểu sẽ làm cho bàng quang căng đầy giúp quan sát được các bộ phận bên trong được rõ hơn.
Vị trí sỏi thận sẽ được định vị rõ nhất qua hình ảnh siêu âm thận, khi được yêu cầu siêu âm ổ bụng thì nên nhịn tiểu nhé! Người bệnh thường sẽ được yêu cầu uống nhiều nước lọc trước khi siêu âm là vì vậy.
Ngoài ra, bạn nên chọn thời điểm siêu âm tốt nhất là buổi sáng khi bụng rỗng, thức ăn đã tiêu hoá hết. Tại sao lại như vậy? Lý do đơn giản là khi siêu âm hạn chế được các tình trạng ảo ảnh gây chẩn đoán sai kết quả.

Để kết quả siêu âm thận được chính xác bạn nên uống nhiều nước và nhịn tiểu
Trong trường hợp được chỉ định xét nghiệm máu thì bạn cần nhịn ăn từ 6-8 tiếng. Khi nhịn ăn trong thời gian như vậy giúp cho các chỉ tiêu sinh hoá liên quan đến bệnh thận được chính xác hơn.
Sau khi siêu âm
Sau khi đã siêu âm thận xong, bạn ngồi chờ nhận kết quả sau đó đưa về phòng bác sĩ. Bác sĩ nhận kết quả hình ảnh siêu âm sỏi thận và tiến hành đưa ra phác đồ điều trị sỏi thận.
Một vài trường hợp vẫn chưa phát hiện được sỏi thận hoặc cho kết quả mờ, không chính xác. Bạn sẽ được chỉ định chụp X-quang, chụp CT theo yêu cầu của bác sĩ.
Tuy nhiên, phần lớn khi thực hiện siêu âm ổ bụng quan sát thận thì hầu như kết quả đã chuẩn xác. Bạn không nên lo lắng và chú ý là nên nhịn tiểu và uống nước nhiều để không phải làm nhiều xét nghiệm nhé!
Ngoài ra, để cho thuận tiện trọng việc điều trị và quan sát tiển triển của sỏi bạn nên thăm khám cùng một loại máy. Và cần thăm khám tại các bệnh viện uy tín, bác sĩ có trình độ chuyên môn cao.
Quy trình tiến hành siêu âm
Để cho ra một kết quả siêu âm đúng, tránh được các kết quả giả thì người thực hiện cũng rất quan trọng. Quy trình thực hiện siêu âm thận như sau:
- Người bệnh thả lỏng, nằm ngửa, kéo quần và áo để thuận tiện cho kỹ thuật viên tiên hành.
- Gel lạnh được bôi lên bụng bệnh nhân để cho đầu dò tiếp xúc với da không bị bọt khi làm nhiễm sóng hình ảnh.
- Bác sĩ đi đầu dò qua vị trí thận và chụp lại kết quả siêu âm.
- Sau khi tiến hành xong, người bệnh lau lại lớp gel lúc đầu bằng khăn giấy.
- Người bệnh nhận kết quả từ kỹ thuật viên.
Siêu âm sỏi thận ở đâu tốt?
Khi có các triệu chứng của bệnh sỏi thận thì việc tìm một nơi để khám chữa bệnh là rất quan trọng. Siêu âm thận ở đâu tốt? Giá thành bao nhiêu? Bạn có thể tham khảo các bệnh viện sau đây:
Khu vực Hồ Chí Minh:
- Bệnh viện đại học Y Dược. Địa chỉ: 215 Hồng Bàng, Phường 11, Quận 5
- Bệnh viện quốc tế City: Địa chỉ: Số 3, đường 17A, Phường Bình Trị Đông, Quận Bình Tân
- Bệnh viện Chợ Rẫy: Địa chỉ: 201B Nguyễn Chí Thanh, Phường 12, quận 5
- Bệnh viện đa khoa Phạm Ngọc Thạch: Địa chỉ: 461 Sư Vạn Hạnh, Phường 12, Quận 10
Khu vực Hà Nội:
- Bệnh viện Bạch Mai: Địa chỉ: 78 Giải Phóng, Đống Đa, Hà Nội
- Bệnh viện Thanh Nhàn: Địa chỉ: 42 Thanh Nhàn, Hai Bà Trưng, Hà Nội
- Bệnh viện E Hà Nội: Địa chỉ: Số 87 – 89 Trần Cung, Cầu Giấy, Hà Nội
- Bệnh viện Trung ương Quân đội 108: Địa chỉ: Số 1 Trần Hưng Đạo, Hai Bà Trưng, Hà Nội
Giá thành siêu âm thận giao động từ 150.000đ đến 500.000đ tuỳ thuộc vào từng cơ sở khám chữa bệnh. Trường hợp, bạn có bảo hiểm y tế thì được miễn phí hoặc giảm chi phí siêu âm.
Như vậy, qua kết quả siêu âm sỏi thận bác sĩ có thể xác định hình dạng cũng như kích thước viên sỏi. Bạn nên uống nhiều nước và nhịn tiểu khi được yêu cầu siêu âm. Hy vọng những thông tin hữu ích trên sẽ giúp ích được bạn khi đang bị sỏi thận.
LIÊN HỆ HOTLINE: 0908.797.616 – 0913.968.932 để được tư vấn hoàn toàn miễn phí.
TÌM NHÀ THUỐC GẦN NHẤT TẠI ĐÂY